• Reserve
  • Instagram
  • Doctor
  • Access
  • 目元の整形専門サイト

    Doctor
    ドクター紹介

    東京イセアクリニック院長 吉種 克之
    東京イセアクリニック院長
    吉種 克之
    YOSHITANE KATSUYUKI
    このドクターの症例から選ぶ
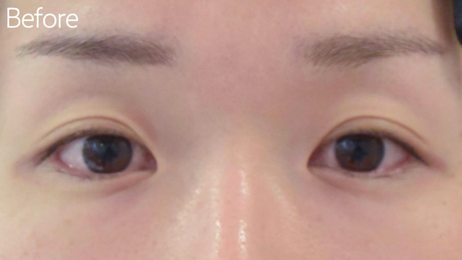
    • 吉種克之院長 症例写真
      施術名
      埋没法ダブル
      施術の説明
      医療用の針と糸を使ってまぶたを固定し、二重にする施術です。
      副作用(リスク)
      腫れ・内出血・左右差・感染
      施術の価格
      両目165,000円(税込)
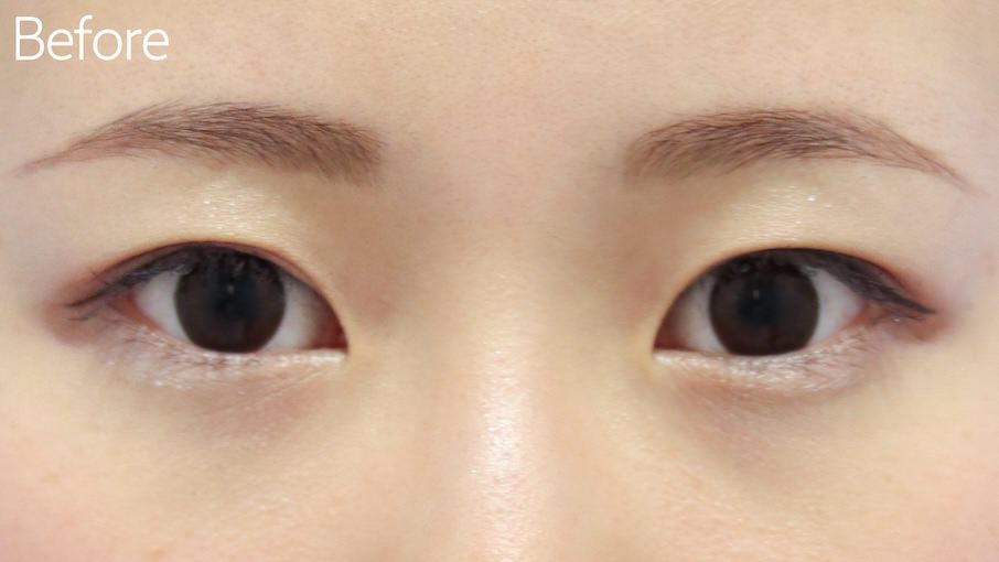
    • 吉種克之院長 症例写真
      施術名
      埋没法ベーシック
      施術の説明
      医療用の針と糸を使ってまぶたを固定し、二重にする施術です。
      副作用(リスク)
      腫れ・内出血・左右差・感染
      施術の価格
      両目99,000円(税込)
    • 吉種克之院長 症例写真
      施術名
      埋没法ベーシック
      施術の説明
      医療用の針と糸を使ってまぶたを固定し、二重にする施術です。
      副作用(リスク)
      腫れ・内出血・左右差・感染
      施術の価格
      両目99,000円(税込)
    • 吉種克之院長 症例写真
      施術名
      埋没法ベーシック
      施術の説明
      医療用の針と糸を使ってまぶたを固定し、二重にする施術です。
      副作用(リスク)
      腫れ・内出血・左右差・感染
      施術の価格
      両目99,000円(税込)
    01
    01
    レスチレン認定指導医 大山 希里子
    レスチレン認定指導医
    大山 希里子
    OYAMA KIRIKO
    このドクターの症例から選ぶ
    • 大山希里子医師 症例写真
      施術名
      埋没法プレミアム
      施術の説明
      医療用の針と糸を使ってまぶたを固定し、二重にする施術です。
      副作用(リスク)
      腫れ・内出血・左右差・感染
      施術の価格
      両目198,000円(税込)
    • 大山希里子医師 症例写真
      施術名
      埋没法ダブル
      施術の説明
      医療用の針と糸を使ってまぶたを固定し、二重にする施術です。
      副作用(リスク)
      腫れ・内出血・左右差・感染
      施術の価格
      両目165,000円(税込)
    • 大山希里子医師 症例写真
      施術名
      埋没法プレミアム
      施術の説明
      医療用の針と糸を使ってまぶたを固定し、二重にする施術です。
      副作用(リスク)
      腫れ・内出血・左右差・感染
      施術の価格
      両目198,000円(税込)
    01
    01
    日本形成外科学会 認定専門医 技術指導医 酒井 新介
    日本形成外科学会 認定専門医
    技術指導医
    酒井 新介
    SAKAI SHINSUKE
    このドクターの症例から選ぶ
    • 酒井新介医師 症例写真
      施術名
      埋没法プレミアム
      施術の説明
      医療用の針と糸を使ってまぶたを固定し、二重にする施術です。
      副作用(リスク)
      腫れ・内出血・左右差・感染
      施術の価格
      両目198,000円(税込)
    • 酒井新介医師 症例写真
      施術名
      埋没法プレミアム
      施術の説明
      医療用の針と糸を使ってまぶたを固定し、二重にする施術です。
      副作用(リスク)
      腫れ・内出血・左右差・感染
      施術の価格
      両目198,000円(税込)
    • 酒井新介医師 症例写真
      施術名
      埋没法プレミアム
      施術の説明
      医療用の針と糸を使ってまぶたを固定し、二重にする施術です。
      副作用(リスク)
      腫れ・内出血・左右差・感染
      施術の価格
      両目198,000円(税込)
    • 酒井新介医師 症例写真
      施術名
      埋没法プレミアム
      施術の説明
      医療用の針と糸を使ってまぶたを固定し、二重にする施術です。
      副作用(リスク)
      腫れ・内出血・左右差・感染
      施術の価格
      両目198,000円(税込)
    • 酒井新介医師 症例写真
      施術名
      埋没法プレミアム・目頭切開
      施術の説明
      医療用の針と糸を使ってまぶたを固定し、二重にする施術です。
      目頭にある蒙古襞を切開することで目の横幅を広げ大きく見せる施術です。
      副作用(リスク)
      腫れ・内出血・血腫・感染
      施術の価格
      両目396,000円(税込)
    01
    01
    日本外科学会 認定専門医 和田 尚人
    日本外科学会 認定専門医
    和田 尚人
    WADA NAOTO
    このドクターの症例から選ぶ
    • 和田尚人医師 症例写真
      施術名
      埋没法プレミアム
      施術の説明
      医療用の針と糸を使ってまぶたを固定し、二重にする施術です。
      副作用(リスク)
      腫れ・内出血・左右差・感染
      施術の価格
      両目198,000円(税込)
    • 和田尚人医師 症例写真
      施術名
      埋没法プレミアム
      施術の説明
      医療用の針と糸を使ってまぶたを固定し、二重にする施術です。
      副作用(リスク)
      腫れ・内出血・左右差・感染
      施術の価格
      両目198,000円(税込)
    • 和田尚人医師 症例写真
      施術名
      埋没法プレミアム
      施術の説明
      医療用の針と糸を使ってまぶたを固定し、二重にする施術です。
      副作用(リスク)
      腫れ・内出血・左右差・感染
      施術の価格
      両目198,000円(税込)
    • 和田尚人医師 症例写真
      施術名
      埋没法プレミアム
      施術の説明
      医療用の針と糸を使ってまぶたを固定し、二重にする施術です。
      副作用(リスク)
      腫れ・内出血・左右差・感染
      施術の価格
      両目198,000円(税込)
    • 和田尚人医師 症例写真
      施術名
      埋没法プレミアム
      施術の説明
      医療用の針と糸を使ってまぶたを固定し、二重にする施術です。
      副作用(リスク)
      腫れ・内出血・左右差・感染
      施術の価格
      両目198,000円(税込)
    • 和田尚人医師 症例写真
      施術名
      埋没法プレミアム
      施術の説明
      医療用の針と糸を使ってまぶたを固定し、二重にする施術です。
      副作用(リスク)
      腫れ・内出血・左右差・感染
      施術の価格
      両目198,000円(税込)
    • 和田尚人医師 症例写真
      施術名
      埋没法プレミアム
      施術の説明
      医療用の針と糸を使ってまぶたを固定し、二重にする施術です。
      副作用(リスク)
      腫れ・内出血・左右差・感染
      施術の価格
      両目198,000円(税込)
    • 和田尚人医師 症例写真
      施術名
      埋没法プレミアム
      施術の説明
      医療用の針と糸を使ってまぶたを固定し、二重にする施術です。
      副作用(リスク)
      腫れ・内出血・左右差・感染
      施術の価格
      両目198,000円(税込)
    • 和田尚人医師 症例写真
      施術名
      埋没法プレミアム
      施術の説明
      医療用の針と糸を使ってまぶたを固定し、二重にする施術です。
      副作用(リスク)
      腫れ・内出血・左右差・感染
      施術の価格
      両目198,000円(税込)
    • 和田尚人医師 症例写真
      施術名
      埋没法プレミアム
      施術の説明
      医療用の針と糸を使ってまぶたを固定し、二重にする施術です。
      副作用(リスク)
      腫れ・内出血・左右差・感染
      施術の価格
      両目198,000円(税込)
    • 和田尚人医師 症例写真
      施術名
      埋没法プレミアム
      施術の説明
      医療用の針と糸を使ってまぶたを固定し、二重にする施術です。
      副作用(リスク)
      腫れ・内出血・左右差・感染
      施術の価格
      両目198,000円(税込)
    • 和田尚人医師 症例写真
      施術名
      埋没法プレミアム
      施術の説明
      医療用の針と糸を使ってまぶたを固定し、二重にする施術です。
      副作用(リスク)
      腫れ・内出血・左右差・感染
      施術の価格
      両目198,000円(税込)
    • 和田尚人医師 症例写真
      施術名
      埋没法プレミアム
      施術の説明
      医療用の針と糸を使ってまぶたを固定し、二重にする施術です。
      副作用(リスク)
      腫れ・内出血・左右差・感染
      施術の価格
      両目198,000円(税込)
    • 和田尚人医師 症例写真
      施術名
      埋没法プレミアム
      施術の説明
      医療用の針と糸を使ってまぶたを固定し、二重にする施術です。
      副作用(リスク)
      腫れ・内出血・左右差・感染
      施術の価格
      両目198,000円(税込)
    • 和田尚人医師 症例写真
      施術名
      埋没法プレミアム
      施術の説明
      医療用の針と糸を使ってまぶたを固定し、二重にする施術です。
      副作用(リスク)
      腫れ・内出血・左右差・感染
      施術の価格
      両目198,000円(税込)
    01
    03
    日本形成外科学会認定 専門医 日本皮膚科学会認定 専門医 権東 容秀
    日本形成外科学会認定 専門医
    日本皮膚科学会認定 専門医
    権東 容秀
    GONDO MASAHIDE
    このドクターの症例から選ぶ
    • 権東 容秀医師 症例写真
      施術名
      埋没法プレミアム
      施術の説明
      医療用の針と糸を使ってまぶたを固定し、二重にする施術です。
      副作用(リスク)
      腫れ・内出血・左右差・感染
      施術の価格
      両目198,000円(税込)
    • 権東 容秀医師 症例写真
      施術名
      埋没法プレミアム・目頭切開
      施術の説明
      医療用の針と糸を使ってまぶたを固定し、二重にする施術です。
      目頭にある蒙古襞を切開することで目の横幅を広げ大きく見せる施術です。
      副作用(リスク)
      腫れ・内出血・左右差・感染
      施術の価格
      両目396,000円(税込)
    • 権東 容秀医師 症例写真
      施術名
      埋没法プレミアム
      施術の説明
      医療用の針と糸を使ってまぶたを固定し、二重にする施術です。
      副作用(リスク)
      腫れ・内出血・左右差・感染
      施術の価格
      両目198,000円(税込)
    • 権東 容秀医師 症例写真
      施術名
      埋没法プレミアム
      施術の説明
      医療用の針と糸を使ってまぶたを固定し、二重にする施術です。
      副作用(リスク)
      腫れ・内出血・左右差・感染
      施術の価格
      両目198,000円(税込)
    • 権東 容秀医師 症例写真
      施術名
      埋没法プレミアム
      施術の説明
      医療用の針と糸を使ってまぶたを固定し、二重にする施術です。
      副作用(リスク)
      腫れ・内出血・左右差・感染
      施術の価格
      両目198,000円(税込)
    • 権東 容秀医師 症例写真
      施術名
      埋没法プレミアム
      施術の説明
      医療用の針と糸を使ってまぶたを固定し、二重にする施術です。
      副作用(リスク)
      腫れ・内出血・左右差・感染
      施術の価格
      両目198,000円(税込)
    • 権東 容秀医師 症例写真
      施術名
      埋没法プレミアム
      施術の説明
      医療用の針と糸を使ってまぶたを固定し、二重にする施術です。
      副作用(リスク)
      腫れ・内出血・左右差・感染
      施術の価格
      両目198,000円(税込)
    • 権東 容秀医師 症例写真
      施術名
      埋没法プレミアム・目頭切開
      施術の説明
      医療用の針と糸を使ってまぶたを固定し、二重にする施術です。
      目頭にある蒙古襞を切開することで目の横幅を広げ大きく見せる施術です。
      副作用(リスク)
      腫れ・内出血・左右差・感染
      施術の価格
      両目396,000円(税込)
    01
    02